MR usluge Poliklinike VURA

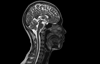
Neurološka snimanja

Neurološka MR snimanja glave i kralježnice istražuju od mogućih tumora mozga do hernijacija diska kralježnice visoko kvalitetnim morfološkim i funkcionalnom tehnikama.


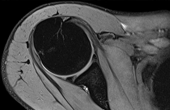
MR kostiju i zglobova

MR kostiju i zgobova (ortografija) posebno prilagođenim programom snimanja precizno oslikava povrijede kostiju i zglobova, odnosno njihove akutne i degeneratitivne bolesti.


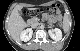
MR unutarnjih organa

MR snimanja unutarnjih organa vrlo su ugodna, tijekom snimanja pacijent može slobodno disati, a najvećem broju slučajeva daje bolje rezultate od endoskopskih tehnika pretraga.


MR u onkologiji

MR u onkologiji poseban je program snimanja bez kojeg je danas nezamislivo rano otkrivanje različitih tumora, raka, nadzor odgovarajućih terapija i kontrola oporavka nakon složenih operacija.


MR žila mozga i vrata

MR angiografija - snimanje žila mozga i vrata - otkriva bolesti širokim spektrom tehnika koristeći napredne kontrastne i nekontrastne metode.


MR djece

MR djece u ‘VURI’ nudi izuzetno kontrastne snimke zahvaljujući djeci prilagođenim protokolima obrade koji koriste sigurne tehnike ultra-brzog snimanja i kompenzacije pokreta tijela.